A girlfriend of mine sent me a blog post about oil pulling asking if I had heard of it and that it sounded interesting. I had only heard of it and not a clue what it was or how it “worked.” That same day only a few hours later, a group I follow had started a thread about it. (strange) Then an article popped up in my news feed. It was screaming at me!
After briefly reading about it and learning the potential benefits I decided, “Hey! Why not?” I’m eclectic and try new things all the time. If you have patience and an open mind, you can too!
So if you, like me, have no idea:
What is Oil Pulling?
Oil pulling is an oral hygiene ritual also believed to detoxify the body and aids in improving overall health as well as assisting with many ailments including diabetes and asthma.
Whereas a tablespoon of raw, coldpressed oil(sesame, sunflower, coconut and/or olive) is swirled in the mouth for 15-20 minutes, most effective first thing in the morning on an empty stomach. After swishing the oil slowly and gently being sure to reach the molars, the oil is expelled to rid the mouth and body of bacteria and toxins.
Then the mouth is rinsed with a glass of warm water(salting is optional).
I have not researched the history, origin of this ritual or how and why it can do these magical things, I’ve just decided to give it a go(blindly).
Call me “Crazy” but here is my experience:
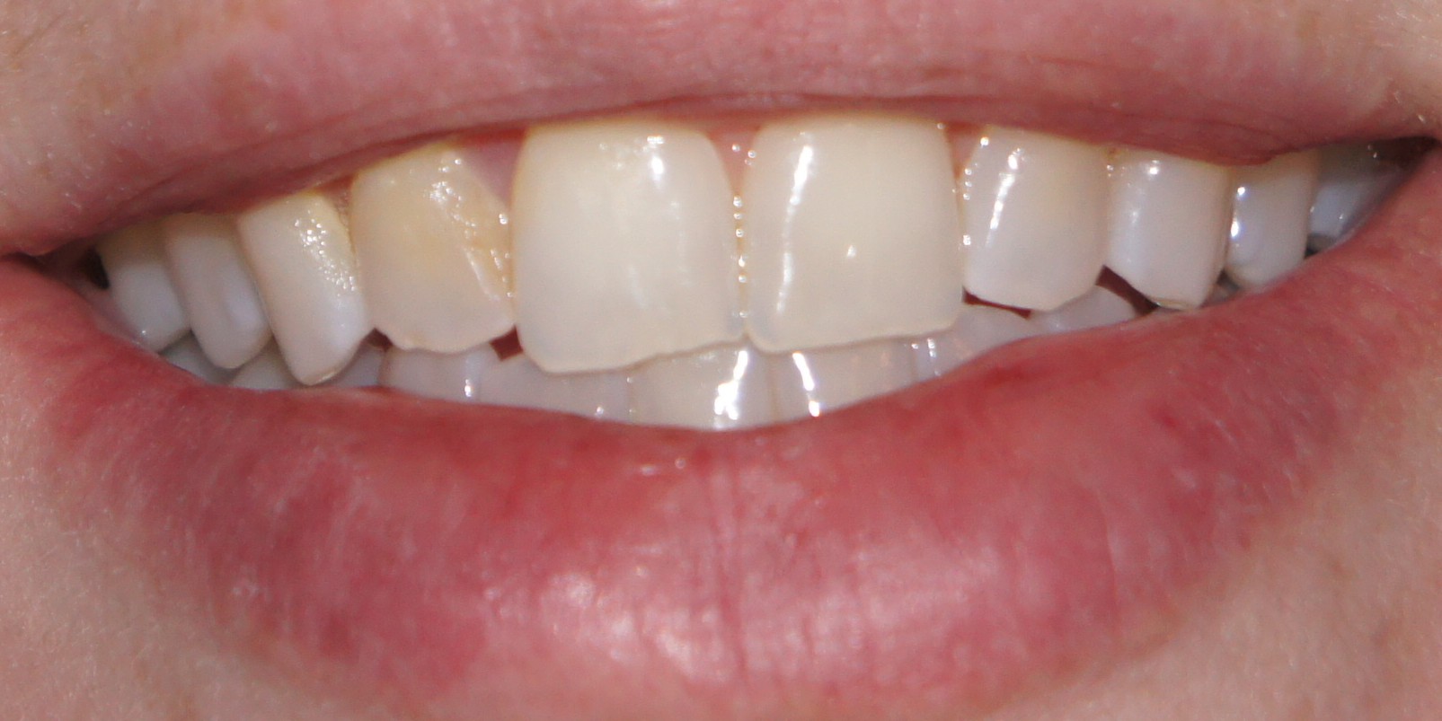
Night before
I brush my teeth as normal and there is bleeding in my gums (as always, when I’m pregnant) and several spots on my teeth and gums are extremely sensitive and painful. My husband takes this picture:


Day 1:
Wow! That is not a good …or bad wow. I used a 1/2 tablespoon of Organic Solid coconut oil and at first it was GROSS! When I first spooned it in I even gagged. The feeling of the lump of oil made me sick. The first 5 minutes felt like forever waiting for it to melt. The rest of the time was much easier. After the oil melted I swirled and swished, it was like using mouthwash less the burning and minty-ness. At about 15 minutes in I had a hard time managing that much oil in my mouth as it had salivated filling my mouth uncomfortably. I dribbled a bit out along the way. At the end of the 20 minutes I spit it out and rinsed and brushed. I noticed less bleeding and slightly less pain, but overall my mouth felt clean!
A little while later, I noticed I was undeniably happy and chipper, which doesn’t happen to me before 9 am. Throughout the day I had an insurmountable amount of patience for my kids and overall I felt really good! If not for anything other than this “happy” feeling, I’m sold.

Night 1:
The good feelings continued. Usually an insomniac, but tonight I fell asleep with ease and within moments of relaxing.
Day 2:
I also woke up with ease which is unlikely for me. My second round of oil pulling, I used only 1 teaspoon and found the amount much more manageable and slightly uncomfortable for the first five minutes while the oil melted. I held it under my tongue as the clump is not so pleasant. After spitting out the foamy oil I brushed and less bleeding and much less sensitivity and pain occurred. In fact, only one spot still hurt a bit.

Day 3
The amount of Oil is of importance. On the second day I only used one teaspoon and I did not have a great day. I was in my regular cranky mood. THIS morning I did a bit more and notice a difference in my mood. I am happier and have more patience again. I also notice my teeth look and feel whiter and cleaner.

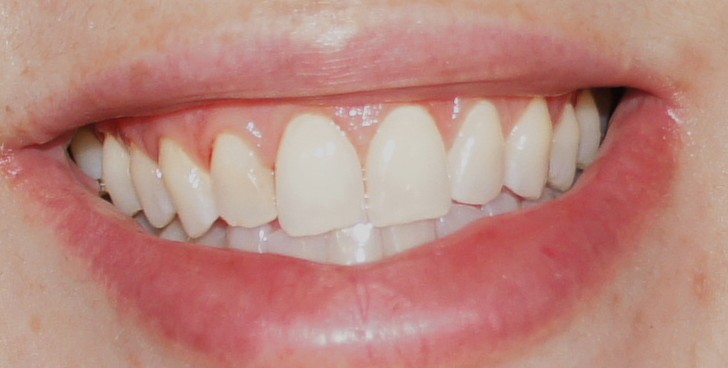
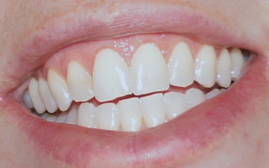
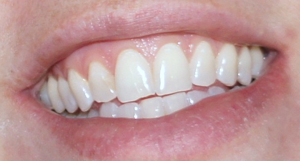
Day 4:
INCREDIBLE!! I feel incredible, my mouth feels incredible and there is a definite noticeable difference in its appearance, health and cleanliness!

Confirmed: the hype is right! Oil Pulling Works.
Give it a try to see the results in just a few short days 😀 And let me know how it goes in the comments.
Subscribe to my blog to get updates on Oil pulling and other Health and Greenness posts like More on Oil Pulling.


I find it amazing that you got such incredible results in such a short time! Thanks for sharing and for adding photos as well!
LikeLike
Stacy, Thank you for your comment! I found it amazing too! I’m glad you enjoyed the post 🙂
LikeLike
Wow! I’ve been contemplating this, but just haven’t done it. You may have just convinced me!
LikeLike
That’s great, Shelby! It is worth it. I’d love to know how it goes. Good Luck!
LikeLike
Lisa, I always use organic coconut oil for cooking. Going to try tomorrow! Incredible results 🙂
LikeLike
Jenny, did you try? How did it go??
LikeLike